新闻中心

  • 【名医有约】省级专家“触手可得”——四川省中医药科学院潘嘉主任来我院名医馆坐诊

    【名医有约】省级专家“触手可得”——四川省中医药科学院潘嘉主任来我院名...

    潘嘉副主任医师潘嘉,双硕士研究生/副主任医师,毕业于成都中医药大学,师承多位著名中医专家——四川省名中医宋兴教授、四川省名中医谭万信教授、四川省十大名中医王成荣教授,现任四川省中医药科学院药理研究室主任,临床医学研究中心主任,四川...

    发布时间:2021-10-14|来自:院办
  • 【学科技术】右心声学造影ASCE——小“泡泡”,大用途

    “超”/人/来/了/科/普/系/列超声新技术右心声学造影ASCE01病例分享患者,王女士,40岁,因长期头晕、头痛发作,影响睡眠与生活质量,到我院神经内科住院治疗,心脏常规超声检查无特殊发现,但是为了进一步明确病因,神经内科医生为患者申请了我院...

    发布时间:2024-05-06|来自:院办
  • 【医心“卫”您】呵护甲状腺,龙中医在行动—我院开展“世界甲状腺日”义诊活动

    【医心“卫”您】呵护甲状腺,龙中医在行动—我院开展“世界甲状腺日”义诊...

    2024世界甲状腺日义诊活动成都市龙泉驿区中医医院每年的5月25日为“世界甲状腺日”5月25日所在的一周是“国际甲状腺知识宣传周”旨在提高全球居民的甲状腺健康意识5月25日上午我院在龙泉驿区东山国际小区举行了“呵护甲状腺,龙中医在行动”专题义...

    发布时间:2024-05-28|来自:院办
  • 【中医特色】颜值超能打!龙中医火出圈的“中药香囊”又双叒叕开售啦!

    【中医特色】颜值超能打!龙中医火出圈的“中药香囊”又双叒叕开售啦!

    养生好物——香囊不可或缺的一部分香囊是我国传统中医药文化中当时的香料是辟芷、秋兰“扈江离与辟芷兮,纫秋兰以为佩”早在屈原《离骚》中就有记载香囊在我国应用历史悠久是一种盛载香料的囊包古时香囊又叫香包、香缨、容臭2023年夏天我院治未病中...

    发布时间:2024-05-18|来自:院办
  • 变革·融合 向未来 |(连载三)成都市龙泉驿区中医医院整体搬迁及一体化...

    ‌奋楫两载谱华章岐黄新程再启航我院整体搬迁及一体化运行两周年纪实(连载三)[医院新貌]自4月22日起我院连续推出“‘区中医医院整体搬迁及一体化运行两周年纪实(连载)”引起了广泛的关注大家纷纷点赞、转发、留言共同见证成长中的新医院今天我...

    发布时间:2025-04-24|来自:院办
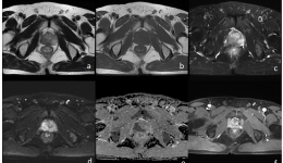
  • 秒懂MRI系列——盆腔MR

    秒懂MRI系列——盆腔MR

    近日,我院放射科新开展了一例盆腔MRI扫描——前列腺MR扫描,下面我们来看看这个例子吧。患者男72岁反复肛门部坠胀、便不尽感3+月。4月6-7日前列腺MRIa-c:前列腺右侧份(以外周带为主)T1WI斑片状等低信号影,T2WI低信号影d-e:病灶DWI上呈高信号...

    发布时间:2022-04-12|来自:院办
  • 【中医药文化】巧手童心做香囊,悠悠药香伴成长—我院开展中医药文化进校园活动

    【中医药文化】巧手童心做香囊,悠悠药香伴成长—我院开展中医药文化进校园...

    中医药文化进校园佩香囊是端午节传统习俗之一在香囊内填充一些具有芳香开窍的中草药不但有辟邪驱瘟之意还有襟头点缀之用恰逢端午佳节来临之际我院于2024年6月4日下午在天鹅湖小学开展“巧手童心做香囊,悠悠药香伴成长”中医药文化进校园活动为二年...

    发布时间:2024-06-06|来自:院办
  • 中医让肺癌患者看到希望!——我院主任中医师邵章祥运用中医药医治肺癌取得好疗效

    中医让肺癌患者看到希望!——我院主任中医师邵章祥运用中医药医治肺癌取得...

    近日肺癌患者陈大爷特来我院名医馆感谢邵章祥(以下简称邵老)主任中医师。现场他激动地说:“谢谢您的精心医治让我的肿瘤缩小了!使我充满希望!谢谢您!”病例回顾患者陈正培,78岁高龄,是四川省南充市蓬安县杨家镇人,因咳嗽胸痛于2021年8月25日...

    发布时间:2022-02-17|来自:院办
  • 【医心“卫”您】开启男科治疗新“镜”界——我院率先开展经尿道精囊镜微创...

    经尿道精囊镜治疗顽固性血精新技术病例分享血精、精囊炎、少精……怎么办?别担心精囊镜微创手术来啦!近日我院男科成功完成一例经尿道精囊镜手术患者男某,因“反复血精半年”入院,既往身体健康。查体:无明显阳性体征;精液检查提示:弱精子症;...

    发布时间:2024-03-26|来自:院办
  • 我院健康管理(体检)中心正式开科

    我院健康管理(体检)中心正式开科

    开启健康新征程我院健康管理(体检)中心正式开科固定布局工具条上设置固定宽高,背景可以设置被包含,可以完美对齐背景图和文字,以及用于模板制作。固定布局工具条上设置固定宽高,背景可以设置被包含,可以完美对齐背景图和文字,以及用于模板制...

    发布时间:2023-07-11|来自:院办
共45页上一页12345...45下一页