【医心“卫”您】弹性髓内钉--微创治疗儿童骨折,解除儿童骨折烦忧

微创治疗儿童骨折
-弹性髓内钉-




儿童活泼好动
稍有不慎就可能跌倒导致骨折
传统手术过程痛苦、恢复时间长
影响孩子的生活学习
家人们别担心~
有一种技术可以免除上述烦恼

>>
病例分享
<<
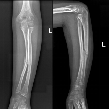
7岁的黎同学
上学时不慎摔倒
导致左前臂疼痛畸形
当地医院X片提示
“左侧尺桡骨干骨折”

术前骨折断端移位明显
经手法复位治疗无效
几经辗转多家医院
都表示需要切开手术治疗
家长听闻我院骨伤一科
治疗儿童骨折疗效确切
于是急来求治
骨伤一科许锦涛主任
带领团队详细研究病情
聚焦患者核心问题
决定为其实施微创手术
弹性髓内钉(ESIN)内固定术

弹性髓内针技术具有
创伤小、固定简便可靠
愈合快、住院时间短等特点
既固定了骨折
又不影响肢体美观
可谓一举两得
手术过程十分顺利
骨折端对位对线良好
术后伤口仅1厘米
患儿在平稳康复中

术后骨折断端移位好转
力线纠正

手术切口小

>>
健康科普
<<


儿童骨折特点

儿童骨折很常见,文献报道,从出生到16岁,男孩有42%-64%的概率会发生骨折,而女孩则为27%-40%,比较常见的骨折为胫骨骨折、股骨干骨折、尺桡骨骨折。
由于儿童骨骼与成人存在着巨大差异,儿童骨骼发育的每个阶段都有不同特点,发生损伤时有很多儿童特有的骨折类型,因此在治疗理念、治疗方式和手术方法上都与成人有着或多或少的不同。


儿童骨折的治疗

既往治疗常常为手法整复结合夹板及石膏外固定,或者采用“切开复位钢板+螺钉内固定”进行手术。
前者常有复位不满意,复位后常出现移位风险,且固定时间长,患儿痛苦大,可能功能恢复有限。
后者创伤较大,遗留较长的手术瘀痕影响美观,还需二期取出内固定装置,患儿及家属常不愿接受。

>>弹性髓内钉内固定术揭秘
<<

“弹性髓内钉技术”发源于法国,在欧洲广泛应用后,现已为全球所接受,被称为是儿童创伤骨科界的一次革命。
“弹性髓内钉”技术可在保护骺板不受损伤的前提下,微创、有效地治疗3—13岁的四肢骨折患儿。
它打破了传统手法复位、牵引复位、石膏固定或夹板固定制动时间长、容易移位、需反复调整、治疗时间长、过程痛苦等弊端。
该技术已得到世界范围内小儿骨科医生的广泛推崇,成为治疗儿童长骨骨折的首选方法。


弹性髓内钉内固定术优势

1. 创伤小、留疤小、伤口美观;
2. 愈合快,住院时间短,不影响生活学习,骨折愈合后取出内固定简单,仅需切开皮下拔出即可,节省了时间和费用;
3. 疗效好,骨折复位满意,固定简便可靠,对断端血供影响小,有利于骨痂生长;
4. 应用广,可应用于3至13岁儿童长骨骨折,其中5至10岁非肥胖者最佳。
许锦涛主任提到,多数儿童骨折可采取保守治疗取得很好的愈合效果。对于需要手术治疗的骨折,我院骨伤科大多以微创、小切口操作,治愈骨折的同时又减少了手术创伤和疤痕的形成。
近几年,我院骨伤科开始对儿童四肢骨折,锁骨骨折采用弹性髓内针的微创手术,获得了患者和家属的普遍认可!
儿童骨折可能会影响身高发育,是否需要手术治疗,应该由专业医生判断。我院骨伤科是省级临床重点中医专科,在小儿骨折微创治疗积累了丰富的经验,能为小儿骨科疾病的诊断和治疗提供更专业的依据。
我院骨伤科全体医务人员将以高超、精湛的技术,安全、优质、高效的理念竭诚为广大患者解除病痛。

>>
专家介绍
<<


专业团队 为您服务
骨伤科
四川省省级重点中医专科,技术力量雄厚、技术精湛,现有医护人员76名,其中医生33人,护理43人,含康复治疗师3人,硕士研究生16人。

现有床位200张,目前开放床位150张,分别为骨一科(创伤)50张,骨二科(脊柱)50张,骨三科(关节、运动医学)50张。
开展业务:四肢关节创伤、骨盆髋臼骨折、骨折延迟愈合/不愈合、大面积创面修复、手部畸形矫正、手功能重建、糖尿病足、手足部损伤、周围神经血管损伤、人工全髋、半髋、全膝关节置换术、单髁置换术、髋膝关节翻修术、脊柱前后路减压植骨内固定术、脊柱微创手术(PKP、PVP、椎间孔镜)、肩、膝关节镜、四肢骨折内固定术、四肢矫形术、骨与软组织肿瘤等手术治疗。
骨伤科具有明显中医特色优势,开展了中医正骨疗法,手法复位小夹板外固定、理疗、中药外敷、自制药酒溻渍等传统治疗,我科长期坚持运用中西医结合治疗各种骨伤科疾病,疗效显著,在区域内处于领先地位。
供稿:文 猛、马 轩
校对:刘罗娜
审核:许锦涛、邓 伟
部分图片来源于网络
版权归原作者所有
如有侵权请及时联系删除

扫一扫 手机端浏览


