【医联体建设】挽救生命,分秒必争——“医联体”守护生命安全
发布时间:2024-05-20 15:19
本文来源: 院办

近日
一份发到
“区中医院胸痛群”的
高危心电图
立刻引起了我院的高度关注
该心电图源自山泉镇公立卫生院的一位50岁男性患者,该患者表现为胸痛、头晕、畏寒、呕吐、血压高,当地医院李昌贵医生为患者行心电图检查发现异常后,当即在群中邀请我院远程会诊。
我院心内科副主任罗阳查看信息后,立即明确指出:患者所患疾病考虑为高危左主干心梗,此类病情具有极高的死亡风险。罗主任强烈建议,在取得患者家属同意的前提下,应尽快将其转诊至我院进行急诊手术。
山泉镇公立卫生院医生迅速与家属进行沟通取得同意后立即启动转诊程序。在转诊过程中,罗主任持续在群内询问患者病史、症状及生命体征等详细信息以进一步明确病情。
与此同时,罗主任与我院急诊科接诊医生进行了紧密的对接工作,并做好了相应的接诊准备。
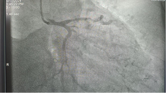
患者抵达我院后,通过绿色通道迅速完善了增强CT等相关检查。心内科主任张鹏及外二科主任韩东江紧急会诊,并根据心电图复查结果紧急行冠脉造影检查显示:患者左主干及三支血管均存在弥漫性病变,急性冠脉综合征的诊断得以明确(左主干+三支病变 前降支、回旋支、右冠脉重度狭窄),同时合并有嗜铬细胞瘤、腹主动脉溃疡、腹主动脉粥样硬化斑块、Ⅱ型糖尿病等。
通过医联体的无缝对接,高效沟通互动,经紧急救治,患者目前已恢复三级血流,转危为安,转入ICU优化药物治疗。
联体联心
高效救治
此患者
从基层接诊到转诊我院
完善检查、明确诊断、紧急治疗
全程仅用时两个半小时
充分体现了
我院与医联体单位间的
紧密合作和无缝衔接
体现了
我院应对危急重症患者
高效有力的应急处置和救治能力
我院DSA介入治疗中心自开科以来,近四个半月时间累计完成600余台介入治疗手术。其中含多台高危、高难度手术,包括左主干真分叉病变双支架、前降支齐头闭塞慢性闭塞性病变CTO、超大心脏双腔起搏器植入、髂动脉大支架、颈动脉大支架植入、慢性坏疽糖尿病足血管开通等,均为我院介入多学科MDT团队独立完成,反应良好,无一例并发症,患者满意度高。科室目前可常规开展所有的介入诊疗项目,其中心脏心律失常介入亚专业为省内为数不多有资质的团队,心律失常介入治疗水平在省内处于领先水平。可常规完成全麻无痛房颤射频消融,房颤冷冻消融,房颤脉冲消融,阵发性室上性心动过速消融,室早、室速消融等等。现为区内唯一一家24小时开通冠脉危急重症急诊手术的医疗机构。
华西心血管硕士研究生,师从我国著名心脏病学家陈茂教授及杨庆教授。于华西心血管内科导管室完成两年冠脉介入、两年心脏电生理射频消融、心脏起搏器植入国家卫健委受训,获得国家卫健委及中国医师协会冠脉介入、心律失常介入、起搏器植入资质。于华西重症医学科完成心脏体外膜肺氧合系统(ECMO) 及重症超声受训,获得中国医师协会体外循环专委会器械植入资质。曾发表SCI、北大核心期刊及统计源期刊学术文章十余篇。四川省老年医学会疼痛专委会委员。擅长:冠心病、心律失常消融及起搏器植入、外周动脉粥样硬化介入、体外循环支持器械植入等。供稿:刘 敏
编辑:刘罗娜
校对:崔晓赟
审核:业务分管领导

扫一扫 手机端浏览