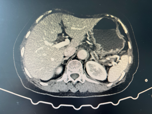
【学科技术】创新手术助力患者康复 —— 我院成功实施首例“腹腔镜脾部分切除术+胆囊切除术”
发布时间:2024-09-30 11:00
本文来源: 院办
分享到:


扫一扫 手机端浏览


扫一扫 手机端浏览
我和龙中医的故事
【健康科普】骨质疏松晒太阳真的有用吗?来听听骨科医生
中医药六进服务助力龙泉驿区卫生事业发展
喜迎二十大 奋进新征程
情暖教师 义诊送健康
抗疫同行 温暖常在