【医心“卫”您】老年人骨折了,可以用“水泥”粘起来!!!


经皮椎体成形术
新技术

老年人骨折了
可以用“水泥”粘起来?
啥子哎?没听说过
来来来
看完这个视频
你就晓得了
Part 1

病例分享

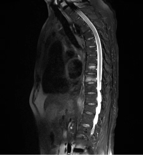
冀某某,男,92岁,4天前因无明显诱因出现腰背部疼痛,起床翻身时疼痛加重,活动受限,遂由家属送来我院就诊。骨二科石华林主任详细查体后,初步考虑患者为“老年性骨质疏松症伴病理性骨折”,结合脊柱核磁共振检查,明确患者胸8、胸9椎体新发骨折。

▲MRI提示胸8、胸9椎体新发骨折
石主任考虑到患者92岁高龄,身患高血压、肺气肿、肺大泡等多种内科疾病,建议冀爷爷尽早配合实施经皮椎体成形术(percutaneous vertebroplasty,PVP)手术治疗,“就像用水泥把骨头粘起来一样”,以减轻疼痛,增强患椎硬度,尽早下床,从而降低术后骨质疏松的加重以及深静脉血栓等发生的风险,提高生活质量。
冀爷爷知道自己是脊柱骨折后,强烈要求手术治疗。原来他曾于2022年在我院做过PVP手术,效果很满意,所以才再次选择我院进行治疗,经家属知情同意后择期手术。

术前体表标记


术中精细操作



顺利完成手术

▲术后小切口不到1厘米

术后快速下床,恢复自理

Part 2

健康科普

什么是骨质疏松
骨质疏松症是一种随着年龄增加,骨量减少,骨微结构破坏的疾病,表现为骨的脆性增加,因而骨折的危险性也大大增加。是一种使骨骼变弱到容易断裂的疾病——最常见的是髋部、脊柱和手腕的骨头,被称为“沉默的疾病”,虽然一直在失去力量,但等到疼痛难忍,骨折的时候才会发现。

随着骨质的流失,患者的骨骼会像风化的石头一样变得稀疏松脆,稍一用力就发生骨折,且肌肉关节持续疼痛、关节畸形,变得驼背,身形“缩水”,严重者因髋部、腰椎等骨折而卧床不起,引发呼吸系统和心脑血管系统并发病而死亡。
骨质疏松的表现
疼痛
骨质疏松最常见的临床症状,常常发生在后背和腰,早期平卧休息后可以缓解。
抽筋
多发生在小腿,尤其是在运动或者睡眠时出现。
身高
下降
很多人随着年龄的增加变矮了,这是因为椎体,也就是我们平时说的脊柱骨的高度下降了,最终导致身高变矮了。
骨折
骨折是骨质疏松最严重的并发症,很多人因为轻微外伤引起疼痛到医院就诊,检查发现就有骨折。
如何预防骨质疏松
一级
预防
从儿童、青少年抓起,合理膳食营养,多食用含钙食品,如鱼、虾、牛奶、乳制品等。
二级
预防
中年后,尤其是女性绝经后,应每年进行骨密度检查,尽早采取防治对策,特别是患有糖尿病、类风湿性关节炎的人群。
一级
预防
已确诊骨质疏松患者,应及时遵医嘱治疗,避免病情进一步进展。
PVP、PKP手术优势
一
明显缓解疼痛:疼痛的缓解率为70%~95%;
二
减少并发症:非手术治疗常需绝对卧床2-3月,PVP术仅需约30分钟,术后24小时患者即可使用外固定保护下床;
三
增强患椎强度:术后第二天疼痛明显缓解,佩戴保护支具,下床行走,出院回家;
四
创伤小:手术伤口不到1cm(不到您的指甲盖长
)。
石主任讲解到,骨质疏松症主要分为原发性和继发性两类。已经出现确诊骨质疏松的患者,补钙也只是补充基础原料的一部分,还需要利用相关药物,抑制破骨细胞活性,促进成骨细胞活性,调整骨代谢,进行抗骨质疏松药物治疗。抗骨质疏松的药物包括二膦酸盐类、降钙素类、甲状旁腺激素等多种药物,需要在专业医生的指导下用药。

同时老年人骨折以后的死亡率明显增加,老年人一旦发生骨折,有可能是致命性的。在老年骨折治疗方面,我院骨二科(脊柱)常规开展PVP、PKP术近10年,广泛应用于治疗老年骨质疏松椎体压缩性骨折,并取得良好疗效,让数千名老年患者快速康复,早期恢复生活自理,极大地提高患者生活质量。
在面对复杂老龄化疾病的挑战时,我院致力于开展创伤小、效果好、恢复快的微创治疗方法,竭诚为广大群众的健康保驾护航!

Part 3

专家介绍


骨伤科主任,副主任中医师
毕业于成都中医药大学,从事骨科临床工作27年,曾经在四川省人民医院骨科、华西医院附一院骨科、核工业416医院、四川省第二中医医院骨科等进修学习,先后在国家级杂志发表论文30余篇。
现任成都市中医骨伤专业医疗质控中心专家组成员、四川省医学会骨病骨肿瘤专委会委员、四川省医学会中西医结合骨科专委会委员、四川省中医学会中医运动专委会委员、四川省中医学会中医骨伤专委会委员、四川省医学会老年骨科专委会委员。
擅长:脊柱(腰腿疼痛专科)、关节、创伤(骨盆、四肢创伤)及骨肿瘤等方面的诊断、治疗。
石华林

骨伤二科科主任,主治医师
毕业于川北医学院,本科学历,曾在川北医学院附属医院规范化培训3年,发表论文数篇,专利3项。现任四川省国际医促会创伤与骨科专委会委员、龙泉驿区骨科专委会委员、龙泉驿区中西医骨科专委会委员,2020年龙泉驿区“大美医者”。
擅长:四肢、脊柱骨折及腰椎间盘突出症的诊治。


扫一扫 手机端浏览



