【双膝关节置换,告别多年顽疾】坐着轮椅进医院,自己走着回家
发布时间:2023-05-18 15:59
本文来源: 系统

患者案例视频
70岁的秦女士10多年前因多发关节痛被确诊为“类风湿性关节炎”,并逐渐出现全身多处关节疼痛加重,双膝关节疼痛、活动受限尤其明显,多方求医但疾病仍进一步侵蚀她的健康。
随着病情日益加重,一年多前逐渐出现双膝屈伸活动明显受限,行走困难,关节疼痛让她的生活苦不堪言,严重影响了患者的身心健康和生活质量。经过多方打听,秦女士慕名来到我院骨三科(关节、运动医学)徐驰主任的门诊就诊。
徐驰主任根据患者病情,结合查体、影像学检查,认为只有实施手术治疗才能改善患者的行走功能,提高患者的生活质量。团队制定了详细的手术方案,患者目前最核心的问题是双侧膝关节疼痛、行走严重障碍,双侧膝关节屈伸功能明显受限,可行双侧人工膝关节表面置换术,以人工关节替代损毁关节,重建结构,恢复功能。但由于秦女士为高龄患者,膝关节功能严重障碍,畸形明显,且合并多种内科疾病,手术难度较大、时间较长,为了降低手术风险,决定分两次对秦女士进行人工膝关节表面置换术。
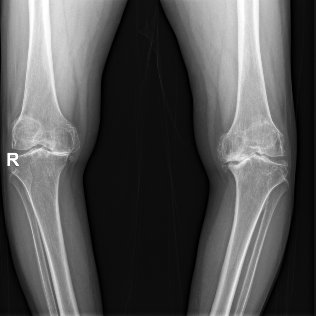
双膝关节内翻畸形
经过充分的术前准备,2022年09月28日,在徐驰主任的主刀下,为秦女士实施了左侧人工膝关节表面置换术。手术很顺利,取得了满意的效果。团队根据其康复的实际情况于2023年04月21日对其右侧的膝关节也进行人工膝关节表面置换术。

术前体态

术后体态

术后,秦女士在助行器辅助下,自由下地行走,然而,在术前,秦女士只能依靠轮椅,现在生活质量得到了明显提高,这对患者和家庭都是一个焕然一新的开始!
什么是关节炎?
关节炎是最常见的慢性关节疾病之一,常见的关节炎有骨关节炎和类风湿关节炎两种,类风湿关节炎是由自体免疫引发的关节炎,是慢性全身性炎症性疾病,而骨关节炎病是常见的一种关节退行性病变,好发于承重关节和多动关节,如髋、膝和脊柱等,多发生于中老年人。
关节炎的阶梯治疗怎么做?
骨三科徐驰主任提到,关节炎首先应从预防开始,避免不合理的运动方式,掌握关节的日常保健方法。治疗骨关节炎,最科学的方法应该是阶梯性治疗,根据疾病的严重程度、发病时间的长短,选择适合的保守或手术治疗。

骨三科徐驰主任表示, 关节炎种类繁多,一般人难以准确辨别,如果关节炎发作,忍痛而不治疗往往对关节造成更大的破坏,加重关节炎的症状,增加致残的危险,出现关节疼痛和病变时建议早期去医院就诊,以免耽误病情,造成不可逆的损伤。对关节炎要早预防、早诊断、早治疗,防止致残!

徐驰,硕士研究生,副主任医师,成都市龙泉驿区中医医院骨三科(关节、运动医学)主任。毕业于四川大学华西临床医学院,现任四川省老年医学会健康管理专委会委员、四川省中医药信息学会痹症专委会委员、四川省老年医学会运动医疗专委会委员、四川省国际医学交流促进会骨与软组织肿瘤专委会委员、成都市龙泉驿区骨科质控中心专家、成都市龙泉驿区运动医学质控中心专家。获四川省脱贫攻坚工作先进个人、成都市对口支援工作先进个人、成都市龙泉驿区卫健局第三届、第四届“最美医者”等荣誉称号,在《中国矫形外科杂志》等北大中文核心期刊发表论文10余篇、获得国家发明专利1项、实用新型专利1项,承担四川省中医药管理局科研课题1项。 擅长领域:股骨头缺血性坏死、髋关节发育不良、重度髋、膝关节炎、骨与软组织肿瘤、半月板损伤等膝关节疾病;擅长髋、膝关节置换及翻修术、四肢骨折内固定术、关节镜手术。科室介绍
(往下滑动查看更多详情)

成都市龙泉驿区中医医院(成都中医药大学附属龙泉医院)骨伤科,四川省省级重点中医专科,技术力量雄厚、技术精湛,现有高、中、初级职称医护人员76名,其中医生33人,护理43人,康复治疗师3人,硕士研究生16人。现有床位200张,目前开放床位150张,分别为骨一科(创伤)50张,骨二科(脊柱)50张,骨三科(关节、运动医学)50张。开展了人工全髋、半髋、全膝关节置换术、单髁置换术、髋膝关节翻修术、脊柱前后路减压植骨内固定术、脊柱微创手术(PKP、PVP、椎间孔镜)、肩、膝关节镜、四肢骨折内固定术、四肢矫形术、皮瓣转移、断肢再植、骨与软组织肿瘤等手术治疗。
同时,骨伤科具有明显中医特色优势,开展了中医正骨疗法,手法复位小夹板外固定、理疗、中药外敷、自制药酒溻渍等传统治疗,我科长期坚持运用中西医结合治疗各种骨伤科疾病,疗效显著,在区域内处于领先地位。



扫一扫 手机端浏览