【医心“卫”您】膝关节“筋”断了怎么办?关节镜下微创行前交叉韧带重建术帮助您~



关节镜下微创行
前交叉韧带重建术


病例分享
李某,女,36岁,今年9月不慎摔伤,导致左膝肿痛伴功能受限,伤后疼痛难耐,站立行走困难,遂来我院骨科就诊。
接诊的刘志强副主任医师查体发现其左膝关节肿胀明显,触压痛明显,结合膝关节核磁共振检查结果,诊断为:1. 左膝前交叉韧带断裂;2. 左膝内侧副韧带损伤。

术前核磁共振提示膝关节前交叉韧带断裂
刘志强医生解释道,膝关节前交叉韧带断裂是运动系统常见疾病,急性期主要症状是关节疼痛、肿胀行走不稳、易摔倒,通常需要手术行韧带重建才能解决根本问题。在刘医生的细心讲解下,李女士希望更好地恢复肢体功能,且手术为微创,于是选择了手术治疗。
为了让患者尽快恢复膝关节的稳定性和功能,骨三科(关节、运动医学)徐驰主任带领团队经过充分的术前准备,联合刘志强副主任医师和冯超主治医师为李女士在关节镜下行了左膝前交叉韧带重建术。

术前标记、调整体位

镜下见前交叉韧带完全断裂

取自体肌腱、编织肌腱


股骨、胫骨隧道重建

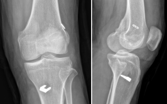
术后复查X片

刘医生查房指导患者功能锻炼
刘医生每天查房时都会指导患者屈伸活动、肌肉力量等方面的功能锻炼,经过治疗,李女士膝关节功能完全恢复,手术取得了满意的效果。

/ 健康科普 /
什么是前交叉韧带
前交叉韧带,又称前十字韧带,位于膝关节内,是膝关节内最容易受伤的韧带,是维持膝关节稳定性的重要韧带之一。

前交叉韧带的作用
前交叉韧带,对于维持膝关节的稳定性至关重要,主要的力学功能包括:
限制胫骨过度前移、膝关节过伸、胫骨的旋转、伸膝位的侧向活动等。

前交叉韧带损伤特点
前交叉韧带损伤是由于膝关节强力过伸或强力外展时导致,大多数是由暴力损伤引起的,包括不良运动方式、意外伤害,症状主要有膝关节异常声响、疼痛、急性肿胀、膝关节不稳。
前交叉韧带损伤后如何治疗
(1)急性期处理
紧急制动,严格休息;抬高患肢,局部冷敷,减轻肿胀。

(2)非手术治疗
佩戴护膝、使用拐杖、康复锻炼、药物镇痛和抗炎治疗。

(3)手术治疗
关节镜手术是目前治疗前交叉韧带损伤的常用手术方式。治疗周期,一般是3-6个月,患者在治疗时注意遵医嘱复诊检查。临床指南强烈推荐,有手术指征的单纯前交叉韧带损伤患者进行早期重建。
关节镜手术的优点
(1)诊断准确,其准确率达98%,经济有效;
(2)手术创伤小,术后并发症少;
(3)住院时间短,术后3-5天可出院;
(4)功能恢复快,患者满意度高。
徐驰主任提到
关节镜手术主要适用于
膝关节半月板缝合、游离体或异物取出
软骨移植、微骨折治疗等
我院骨三科(关节、运动医学)
已常规独立开展关节镜相关手术
技术成熟
能为更多的骨关节、运动损伤患者
提供更加优质、安全的诊疗服务
科普专家介绍
徐 驰

硕士研究生,副主任医师,骨三科主任
毕业于四川大学华西临床医学院,现任四川省老年医学会健康管理专委会委员、四川省中医药信息学会痹症专委会委员、四川省老年医学会运动医疗专委会委员、四川省国际医学交流促进会骨与软组织肿瘤专委会委员、成都市龙泉驿区骨科质控中心专家、成都市龙泉驿区运动医学质控中心专家。
获四川省脱贫攻坚工作先进个人、成都市对口支援工作先进个人、成都市龙泉驿区卫健局第三届、第四届“最美医者”等荣誉称号,在《中国矫形外科杂志》等北大中文核心期刊发表论文10余篇、获得国家发明专利1项、实用新型专利1项,承担四川省中医药管理局科研课题1项。
擅 长:股骨头缺血性坏死、髋关节发育不良、重度髋、膝关节炎、骨与软组织肿瘤、半月板损伤等膝关节疾病;擅长髋、膝关节置换及翻修术、四肢骨折内固定术、关节镜手术。

硕士研究生,副主任医师
毕业于吉林大学,曾在哈尔滨医科大学附属第一医院骨科、四川省人民医院、 北京大学附属第三医院运动损伤科(关节镜治疗)进修学习,现任龙泉驿区运动医学专业质量控制中心专家组成员。在国家级期刊发表论文数篇。
擅 长:骨关节炎的中西医结合治疗、四肢骨折及膝关节病关节镜治疗技术。
冯 超

硕士研究生,主治医师
毕业于成都中医药大学中医骨伤专业,曾于西安红会医院进修肩、肘、膝、踝关节镜。
擅 长:半月板损伤、前后叉韧带损伤、肩袖损伤、关节炎等疾病的诊治。
专业团队

为您服务

骨伤科

我院骨伤科为四川省省级重点中医专科,技术力量雄厚、技术精湛,现有医护人员80名,其中医生32名,护理48名,包含康复治疗师3名,硕士研究生17名。
现有床位200张,目前开放床位150张,分别为骨一科(创伤)50张,骨二科(脊柱)50张,骨三科(关节、运动医学)50张。
开展了人工全髋、半髋、全膝关节置换术、单髁置换术、髋膝关节翻修术、肩、膝关节镜手术、脊柱前后路减压植骨内固定术、脊柱微创手术(PKP、PVP、椎间孔镜)、四肢骨折内固定术、四肢矫形术、皮瓣转移、断肢再植、骨与软组织肿瘤等手术治疗。同时,骨伤科具有明显中医特色优势,开展了中医正骨疗法,手法复位小夹板外固定、理疗、中药外敷、自制药酒溻渍等传统治疗,长期坚持运用中西医结合治疗各种骨伤科疾病,疗效显著,在区域内处于领先地位。
供稿:冯 超、文 猛
校对:刘罗娜
审核:徐 驰、邓 伟
部分图片来源于网络
版权归原作者所有
如有侵权请及时联系删除

扫一扫 手机端浏览


