【龙中医技术】高精准,超微创!我院超声科成功开展“超声引导下肾囊肿硬化治疗术”!

7月14日,龙泉驿区中医医院超声科成功实施首例肾囊肿硬化治疗。患者男,57岁,因左侧膝关节滑膜炎入院做常规彩超检查,发现大小约4.5cmx5.0cm的右肾囊肿,肾实质受压,囊肿无分隔,初步考虑为单纯性囊肿。
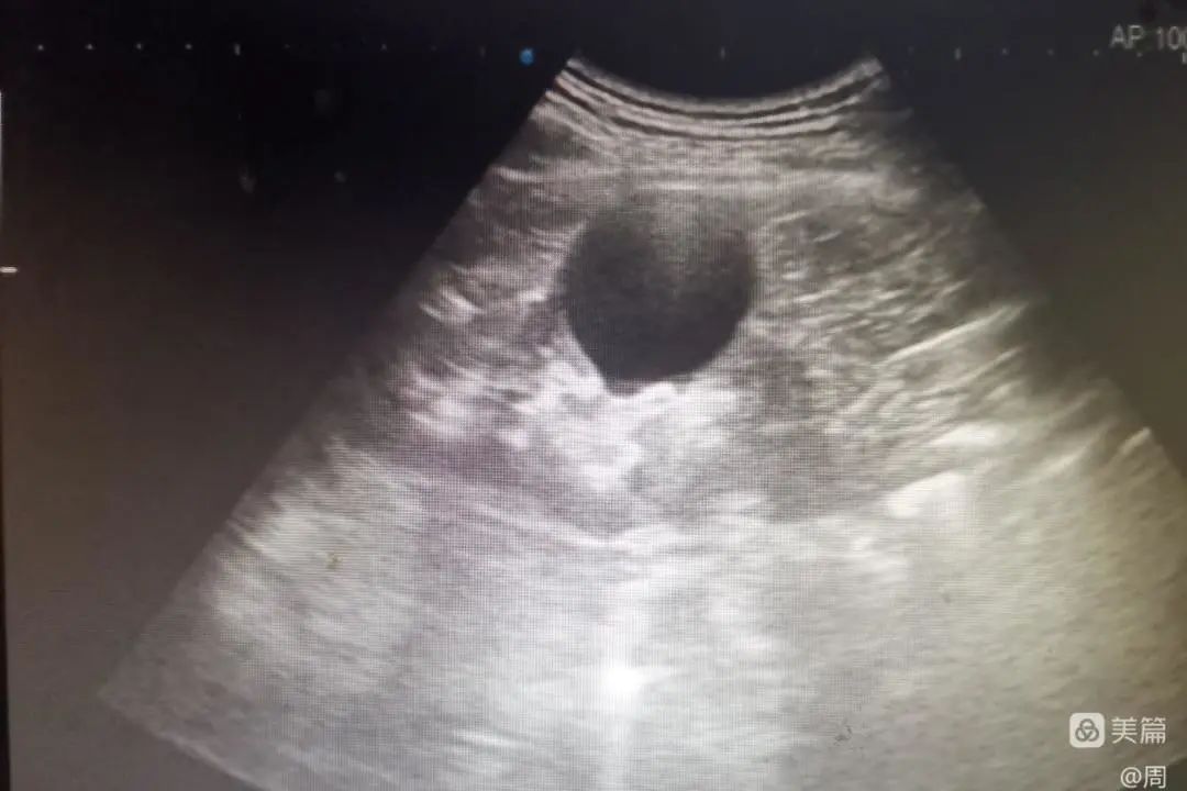
术前囊肿大小

超声科介入医生周晓霞与患者及其主管医生沟通后,患者愿意接受超声引导下右肾囊肿硬化治疗。
手术过程
超声引导下确定穿刺点,常规消毒铺巾,皮下局部麻醉,19G PTC针经皮穿刺右肾囊肿,见针尖到达囊腔内,拔出针芯,抽出淡黄色液体10ml,做蛋白定性实验,蛋白定性实验(+),再抽出囊液共40ml,生理盐水反复冲洗囊腔,再向囊内注射聚桂醇10ml反复冲洗,然后保留聚桂醇5ml,拔出穿刺针,患者无明显不适,术中及术后肾周未见明显积液。
聚桂醇反复冲洗囊腔
术后囊肿消失

健康科普
肾囊肿是中老年人的常见病,多数在体检时发现,且无明显不适。但当囊肿大小超过4cm时,部分患者会出现压迫症状,产生诸如肾积水、感染、甚至肾功能损害等表现。目前,经典的囊肿治疗仍然是“腹腔镜下肾囊肿去顶减压术”,它是在腔镜下将囊肿突出部分切除,剩余囊肿内壁适当电灼后开放或以自体脂肪填充缺损。该术相对早前开腹手术已然是“钥匙孔”般的微创,但仍存在易出血、腹膜损伤、肾周血肿、术后感染等风险。
|有没有更加微创的治疗方法呢?
答案是肯定的!那就是“超声引导下肾囊肿硬化治疗术”。
超声引导下肾脏囊肿
硬化治疗的优点:
1. 病人安全、创伤小,只需一根穿刺针到达囊腔,在可视下抽取囊液,如蛋白实验呈阳性者,可以在囊腔内注射硬化剂;呈阴性者,不宜做硬化治疗,只需抽尽囊液即可。
2. 病人痛苦小,只需要在局部麻醉,病人清醒状态下进行。手术时间短,一般半小时左右可完成整个手术操作过程。
3. 手术费用明显少于临床囊肿剥除术。

超声引导下“肾脏囊肿硬化治疗术”的成功开展,标志着我院在重要脏器的囊性病变上,运用微创技术的治疗又迈上了一个新的台阶。
今后,我院超声科将不断努力提升业务能力,以更精湛的技术,为广大患者提供更加优质的医疗服务!
咨询电话:
(028)68284927
15982075229

拟稿:周晓霞
编辑:刘罗娜
审核:贾学明、段红玲

扫一扫 手机端浏览
