它是世界头号“致残性疾病”!你身边每10人中就有1个
发布时间:2022-10-12 09:05
本文来源: 宣传统战部
分享到:


每年10月12日是世界关节炎日,关节炎是最常见的慢性关节疾病之一,也是世界第三大致残性疾病。据统计,我国约有1.22亿关节炎患者,发病率约为13%,大约每10个人中就有1人患有关节炎,且数量呈逐年上升的趋势。
常见的关节炎有骨关节炎和类风湿关节炎两种,类风湿关节炎是由自体免疫引发的关节炎,是慢性全身性炎症性疾病,而骨关节炎病是常见的一种关节退行性病变,好发于承重关节和多动关节,如膝、髋和脊柱等,多发生于中老年人。

| 红 | 关节炎急性发作会出现关节红肿。 |
| 肿 | 这是关节炎常见的症状,但与关节疼痛的程度不一定成正比。 |
| 热 | 正常情况下关节摸起来应该比其他部位的体温略低,是因为关节血运特别少,如果关节变热,那就说明关节出现了炎症,建议就医。 |
| 痛 | 疼痛是关节炎的最主要表现。 |
| 功能活动障碍 | 关节炎发作出现疼痛及炎症,逐步影响周围组织,导致关节不能正常活动,长期甚至可使关节功能永久丧失。 |
晨僵 | 关节炎可能会出现晨僵,就是晨起时关节僵硬,需要活动后减轻的现象。 |





值得注意的是,久坐不动人群关节炎的患病率高达10.2%,是健身跑步者的三倍,一方面没有强壮的肌肉,关节缺乏稳定性,另一方面骨骼也缺乏应力刺激,无法健康代谢,加速关节炎的发展。

有关节炎家族史的人群,有更高发病风险,建议定期体检。

我院骨伤科徐驰主任提到,关节炎首先应从预防开始,避免不合理的运动方式,掌握关节的日常保健方法。治疗骨关节炎,最科学的方法应该是阶梯性治疗,根据疾病的严重程度、发病时间的长短,选择适合的保守或手术治疗。

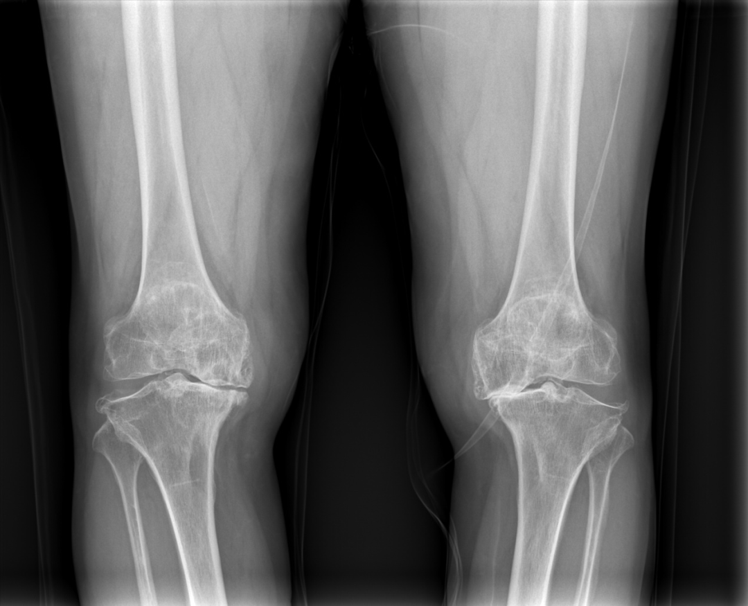
案例——66岁的蒲女士,10多年前因患有“类风湿性关节炎”,逐渐出现双膝关节活动受限、行走困难,随着病情日益加重,双膝关节疼痛让她寸步难行,多年的寻医问药,让她生活苦不堪言,2022年9月蒲女士慕名来到我院骨伤科徐驰主任门诊就诊。

术前双膝关节退变严重,关节间隙基本消失
第一次左侧人工全膝关节置换术后
第二次右侧人工全膝关节置换术后
徐驰主任表示, 关节炎种类繁多,一般人难以准确辨别,如果关节炎发作,忍痛而不治疗往往对关节造成更大的破坏,加重关节炎的症状,增加致残的危险,出现关节疼痛和病变时建议早期去医院就诊,以免耽误病情,造成不可逆的损伤。


骨伤科介绍
(下滑查看更多详细介绍)


扫一扫 手机端浏览
