体检发现肺部小结节,是肺癌吗?
发布时间:2022-10-17 09:11
本文来源: 宣传统战部
现在体检查出肺部结节的人们越来越多,很多人认为查出肺结节就意味着自己得了肺癌,搞得自己和家人都非常紧张。引起肺部小结节的原因有很多,常见的如炎症肉芽肿、肿瘤、结核或真菌感染等。小结节很难弄清楚它是“好的”、还是“坏的”(如果一发现就贸然手术,切除一叶肺叶至少会损20%的肺功能),所以需要定期复查,它会长大那就是不好的。有些人又会提出疑问,万一是肿瘤,没有及时处理等扩散就啥也来不及了。答案是否定的,因为肿瘤的生长有一定的周期,特别是在结节很小的时候,3-6个月的复查时间可以让医生看到它的变化,但也大不到它能长到足够扩散及转移的地步。
在影像学上把肺部阴影按照直径大小分为肺结节和肺肿块。
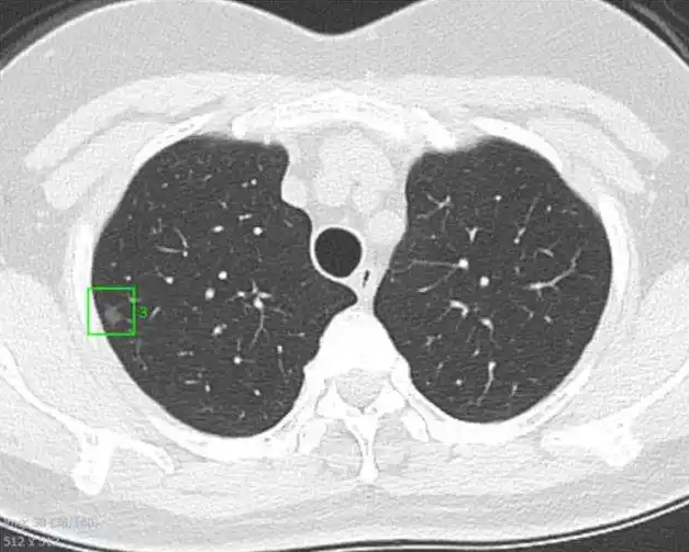
肺结节为直径≤3 cm的局灶性、类圆形、密度增高的实性或亚实性肺部阴影,可为孤立性或多发性。
局部病灶直径>3 cm者称为肺肿块,肺癌的可能性相对较大。
【按数量分】 孤立性结节(单个病灶)→ 多发性结节(2个及以上的病灶)【按病灶大小分】 微小结节(直径<5 mm)→ 小结节(直径为5~10mm)【按密度分】 实性肺结节→ 亚实性肺结节(包含纯磨玻璃结节和部分实性磨玻璃结节)
大多数<1cm的结节在X线胸片上不显示,所以不推荐X线胸片作为肺结节常规评估方法。建议肺癌高危人群应每年进行低剂量CT筛查。

王晓平主任建议,年龄在四十岁以上且具有以下任一危险因素者,应定期体检,并增加胸部CT检查项目,将其作为常规肺癌筛查的手段。1.吸烟≥20包年(或 400年支),或曾经吸烟≥20包年(或 400年支),戒烟时间<15 年;2.有环境或高危职业暴露史(如石棉、铍、铀、氡等接触者);3.合并慢阻肺、弥漫性肺纤维化或既往有肺结核病史者;
形成肺结节的原因有很多种,常见的有:恶性肿瘤(原发性肺癌、肺转移瘤、类癌)、感染性肉芽肿、良性肿瘤(如错构瘤)、血管性病变和炎性病变等。

所以,发现肺结节不等于就是患上了肺癌。
≤8mm:3、6、12个月后复查,没有变化的随后1年复查1次;>8mm:3个月后复查,持续存在可考虑PET/CT或手术;小结节多数是“好的”,也有一小撮是“坏蛋”,不过通过复查我们完全可以把它揪出来。因为肿瘤的生长是有规律的,实性结节(癌性结节)长大一倍(体积增大一倍与相当于直径增加26%)需要100-400天,亚实性结节需要3-5年。所以,3-6个月的复查时间可以让医生看到它的变化,但也大不到它能长到足够扩散及转移的地步。
所有结节如果随访期间增大或实性成分增多,需手术。
所以,你懂了吗?
肺部小结节并不可怕
我们要科学对待,分类随诊治疗

记得把这篇推文分享给
身边有肺结节的朋友哦

老年病科简介
(往下滑动查看详细介绍)
老年病科, 2012年6月6日成立并运行,2013年9月通过评审正式成为成都市重点中医专科,2019 年被评为四川省重点中医专科建设单位。成都中医药大学附属医院医联体单位。
老年病科设置专科门诊 1 个,综合治疗室 1 个,病床 50 张。现有副主任医师 2 名,主治医师 1 名,住院医师 6 人,其中研究生 5 名;主管护师 5 人,护师 10 人,护士 1 人。拥有2名省市级专委会委员,多名呼吸专科、肾内专科及肿瘤专科医生及中西医结合研究生,形成了一支老中青结合、中西医结合的高水平学术医疗队伍。科室长期与成都医学院附属医院、四川省人民医院、中国人民解放军成都军区总医院等交流合作 。科室配置:奥林巴斯电子支气管镜、耶格肺功能检测仪、飞利浦V60无创呼吸机、瑞思迈无创呼吸机、飞利浦便携式睡眠监测仪、中频治疗仪、排痰仪、离子导入治疗仪、疼痛治疗仪、24小时动态血压检测仪、迈瑞心电监护仪、心脏除颤监护仪等先进的诊治设备及抢救设施,为患者疾病诊治提供有力依据和支持。业务能力:擅长治疗呼吸系统疾病(慢性阻塞性肺疾病、慢性肺源性心脏病、急慢性支气管炎、支气管哮喘、支气管扩张、肺炎、咯血、心衰呼衰等)和急慢性肾炎、肾功能不全、慢性肿瘤、糖尿病等中西医结合治疗。开展电子支气管镜检查及治疗技术、肺功能检测、无创呼吸支持治疗、便携性睡眠呼吸检测、心肺功能康复治疗及穴位贴敷、耳针、灸法、中药熏洗、中药塌渍、中药涂擦、穴位注射等中医特色治疗。
科室电话
028-68284913(医生办)
028-68284006(护士办)
扫一扫 手机端浏览