乳牙预成冠——为孩子的牙齿穿上“小铠甲”!


爱护牙齿 | 呵护口腔
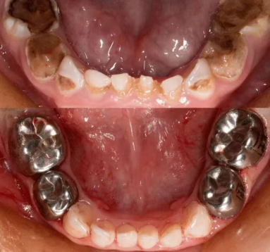
乳牙金属预成冠



有的小朋友得了蛀牙
去医院看牙
医生建议“给牙齿戴个牙套”
这个“牙套”指的就是
“乳牙金属预成冠”
可以在乳牙表面形成
一层保护屏障
阻止龋坏继续发展
能有效保护乳牙的正常发育
且有美观效果
接下来
让我们一起来了解一下
乳牙金属预成冠~


什么是乳牙金属预成冠?
这是一种预制成型的,具有乳磨牙牙冠形态的不锈钢金属冠,通常用于恢复乳牙形态和咀嚼功能。金属预成冠套在乳牙上可以保护牙齿并加强牙齿的强度,能够确保乳牙正常健康地被恒牙替换。



哪些情况要做金属预成冠?

01
大面积龋坏的蛀牙,影响儿童的咀嚼功能。如果采用传统方法补牙,由于龋坏面积大,原本剩余的可以用来粘接补牙材料的牙体组织太少了,容易粘不住,所以咀嚼黏硬食物时补牙材料可能脱落。对于这种情况,采用乳牙金属预成冠的修补效果更好用。
02
口腔卫生状况维护不佳,蛀牙易感的儿童。年龄小的孩子尚未形成良好的口腔卫生习惯,可以选择用金属预成冠修复乳牙缺损,比传统的补牙更不容易再坏。
03
牙神经坏死的牙齿,变得脆弱、容易折断,在完成乳牙根管治疗后,还需要用金属预成冠将牙齿保护起来。
04
牙齿发育异常,如牙釉质或牙本质发育不全的牙齿,也可以做个金属预成冠,帮助恢复牙齿的外形和功能。
05
乳牙早失,恒牙未萌出时,我们可以把乳牙金属预成冠作为间隙保持器的固位体。


乳牙预成冠的好处

01
儿童乳牙的龋坏,是由于牙釉质内的细菌侵蚀而造成,其特点是发展速度快,对儿童口腔的健康危害极大,乳牙金属预成冠有足够的硬度和稳定性,可以防止补牙材料脱落,减少就诊次数。
02
乳牙金属预成冠能将牙齿整体包裹起来,可以使乳牙在新牙尚未完全萌出时就得到了保护,隔离了口腔内的细菌环境,降低了龋坏的概率。
03
乳牙金属预成冠不会对恒牙造成影响,不会影响恒牙的发育。
04
乳牙金属预成冠可将龋坏的牙齿和牙体组织一起充填,恢复牙齿的形态和正常的咬合,延长乳牙的使用寿命,从而保证后续恒牙的顺利萌出。
05
乳牙金属预成冠制作方便、快捷、高效,修复后美观大方,且对牙齿伤害小,不需要大量磨除牙齿即可完成修复。


常见问题
Q
乳牙总是要换的,有必要做乳牙金属预成冠吗?
A
乳牙有着非常重要的意义。儿童时期拥有健康的牙齿和良好的咀嚼功能,才能保证这一成长关键阶段的消化吸收和营养摄取,从而确保身心健康发育。
乳牙问题会影响恒牙萌出和面型发育。所以,用金属预成冠保护乳牙是很有必要的。
Q
乳牙金属预成冠对人体安全吗?
A
安全。乳牙金属预成冠修复是一项成熟的技术,安全性能可靠。
Q
做乳牙金属预成冠需要磨牙吗?
A
儿童金属预成冠与成人牙冠不同,它有一定的弹性。医生会根据牙齿的形状和大小,选择型号最合适的金属预成冠,只需要对牙齿的外形稍微做些修整,保留大部分牙体组织,就能佩戴粘接。
Q
戴乳牙金属预成冠会影响换牙吗?
A
不会。乳磨牙的替换时间一般在9~12岁,金属预成冠是套到外露在口腔里的牙冠上,对牙根没有影响。当儿童换牙时,金属预成冠会随着乳磨牙自然脱落,完全不会影响恒牙萌出。
Q
戴乳牙金属预成冠会难受吗?
A
试戴乳牙金属预成冠的过程可能会有一点难受,但通常在可承受的范围内,佩戴后小朋友也能很快适应牙冠。
Q
乳牙金属预成冠的颜色不好看,会影响美观吗?
A
金属预成冠主要适合乳磨牙,是比较靠后的牙齿,除了张大嘴、大笑之外,基本看不见。
Q
乳牙金属预成冠容易掉吗?
A
相对于传统的补牙材料,乳牙金属预成冠更加坚硬牢固,不容易脱落。
Q
戴上乳牙金属预成冠后,是否影响日常饮食?
A
乳牙金属预成冠是粘在牙齿上的,粘接材料需要时间确保凝固,一般粘好后两个小时后可以进食,建议先用另一侧咀嚼。戴上乳牙金属预成冠后,从软的食物慢慢过渡到正常食物即可。
Q
戴上乳牙金属预成冠后,还有哪些需要注意?
A
使用期间保护口腔卫生,保持牙冠外部清洁,注意3~6个月定期复查。
乳牙金属预成冠
是一种有效保护
和修复乳牙的方法
但需要在医生的指导下使用
目前
我院口腔科已成熟开展
儿童预成冠技术
有需求的患儿
请在家长陪同下
至我院门诊三楼口腔科咨询~
科室简介
↑点击上图查看科室简介↑


呵|护|口|腔|健|康
-END-
供稿:谢 霞
编辑:刘罗娜
校对:卓祥春
审核:业务分管领导
图片来源于网络,如有侵权,请联系删除。

扫一扫 手机端浏览

