【学科技术】运动医学-踝关节镜下微创小切口解决“大”问题
发布时间:2024-06-29 09:39
本文来源: 院办

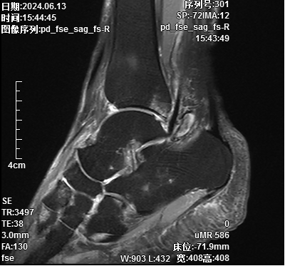
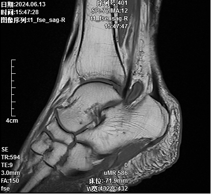
汪某,女,69岁,患者于3+月前发现右足背及右足跟腱处无明显诱因出现包块,行走时疼痛及活动受限,为求解决问题,于是来到我院骨伤科就诊。术前核磁共振提示:1.距骨前外侧、胫骨后侧多发囊肿;2.多发骨质骨髓水肿、小囊变
刘志强医生解释道,踝关节囊肿是一种多发生在肌腱旁的疾病,多因治疗后反复发作。若采取传统开放式手术,切口较大,且对周围软组织干扰严重,导致出现潜在的瘢痕疼痛及瘢痕压迫症状,且影响美观。骨伤科副主任徐驰团队根据患者病情及症状,经讨论后决定为患者行关节镜微创手术,即踝关节镜辅助下右踝关节清理+右足、踝多发囊肿切除术。在医生的细心讲解下,且汪女士既往有腰椎微创手术史,对微创手术的效果满意,于是同意了微创手术治疗。
术前标记体位

术中精细操作,切除病灶
术中,在患者右踝后部内外侧分别做一约8毫米长的微创小切口,清理增生滑膜、受损软骨,彻底切除所有囊肿,整个手术时间短、出血少,手术顺利完成,术后患者疼痛明显缓解。
术后切口仅8毫米
微创手术术后,患者即能进行屈伸活动、肌肉力量等方面的功能锻炼。
医生查房指导患者功能锻炼
徐驰主任提到
关节镜手术主要适用于
膝关节半月板缝合、游离体或异物取出
软骨移植、微骨折治疗等
我院骨三科(关节、运动医学)
已常规独立开展关节镜相关手术
技术成熟
能为更多的骨关节、运动损伤患者
提供更加优质、安全的诊疗服务
Ankle Arthroscopy也就是我们熟悉的踝关节镜,在踝关节内或外侧取8毫米左右的小切口,通过进入关节腔内的镜头,把里面的结构通过光纤传送到外面的屏幕上,将病灶可视化,再用工具对病变处进行治疗,我们就称之为踝关节镜手术,是一种微创手术。
踝关节镜在踝关节中的运用越来越广泛,比如踝关节的感染、痛风、距骨骨软骨损伤、关节游离体、跟腱疼痛、足跟疼痛、踝关节撞击综合征、踝关节不稳等,越来越多的疾病都能在关节镜下进行微创、精细化的治疗。
关节镜微创手术具有切口小、出血少、恢复快、对软组织牵拉损伤少、无须截骨、视野清晰、利于保护关节软骨等优点,同时还可降低切口不愈合以及感染等的发生风险。
徐驰主任讲解道:
运动医学以“精准微创、功能至上、早期康复、重返运动”为宗旨,以强调功能康复为特点,以关节镜技术为主要手段,专注于各种关节疾病、运动损伤及其他运动系统相关疾病的诊断、治疗和康复,根据病情不同程度,采取不同的治疗措施,重视关节稳定性重建的意义和对关节软骨重要性的保护。
毕业于四川大学华西临床医学院,现任四川省老年医学会健康管理专委会委员、四川省中医药信息学会痹症专委会委员、四川省老年医学会运动医疗专委会委员、四川省国际医学交流促进会骨与软组织肿瘤专委会委员、成都市龙泉驿区骨科质控中心专家、成都市龙泉驿区运动医学质控中心专家。获四川省脱贫攻坚工作先进个人、成都市对口支援工作先进个人、成都市龙泉驿区卫健局第三届、第四届“最美医者”等荣誉称号,发表SCI论文一篇,在《中国矫形外科杂志》等北大中文核心期刊发表论文10余篇、获得国家发明专利1项、实用新型专利1项,承担四川省中医药管理局科研课题1项。 擅 长:股骨头缺血性坏死、髋关节发育不良、重度髋、膝关节炎、骨与软组织肿瘤、半月板损伤等膝关节疾病;髋、膝关节置换及翻修术、四肢骨折内固定术、关节镜手术。
曾在哈尔滨医科大学附属第一医院骨科、四川省人民医院、 北京大学附属第三医院运动损伤科(关节镜治疗)进修学习,在国家级期刊发表论文数篇。现任龙泉驿区运动医学专业质量控制中心专家组成员。
擅 长:四肢骨折、关节骨性关节炎的中西医结合治疗及膝关节病关节镜治疗术。
毕业于成都中医药大学中医骨伤专业,曾于西安红会医院进修肩、肘、膝、踝关节镜。
擅 长:半月板损伤、前后叉韧带损伤、肩袖损伤、关节炎等疾病的诊治。

我院骨伤科为四川省省级重点中医专科,技术力量雄厚、技术精湛,现有高、中、初级职称医护人员81名,其中医生31人,护理50人,硕士研究生18人。现有床位200张,目前开放床位150张,分别为骨一科(创伤)50张,骨二科(脊柱)50张,骨三科(关节、运动医学)50张。
开展了人工全髋、半髋、全膝关节置换、单髁置换、髋膝关节翻修、脊柱前后路减压植骨内固定、脊柱微创(PKP、PVP、椎间孔镜)、肩关节镜下肩袖修补、膝关节镜下韧带重建、踝关节镜下滑膜病变切除、踝关节镜下距骨骨软骨损伤治疗、四肢骨折内固定、四肢矫形、皮瓣转移、断肢再植、骨与软组织肿瘤等手术治疗。
同时,骨伤科具有明显中医特色优势,开展了中医正骨疗法,手法复位小夹板外固定、理疗、中药外敷、自制药酒溻渍、拔罐等传统治疗,长期坚持运用中西医结合治疗各种骨伤科疾病,疗效显著,在区域内处于领先地位。



扫一扫 手机端浏览