【医心“卫”您】创伤小、恢复快~微创切口治疗后交叉韧带止点撕脱骨折疗效好!
发布时间:2024-08-22 16:28
本文来源: 院办

陈某,女,57岁,行走时滑倒受伤,伤后即感全身多处疼痛不适,到我院行X片检查后提示:左侧肩关节脱位、左胫骨后交叉韧带止点撕脱性骨折、左侧肱骨大结节骨折。急诊予以肩关节复位处理后办理住院。

▲术前CT提示膝关节胫骨后交叉韧带止点撕脱骨折,
关节面不平

经科室讨论,一致决定为患者复位固定撕脱骨折块,恢复后交叉韧带张力,待愈合后,后交叉韧带可以继续发挥功能。相比较于以往采用膝后部大S型切口,切口大、出血多、时间长、损伤大、不美观,术后形成瘢痕甚至会对患者屈膝功能有一定影响等问题,骨伤中心副主任许锦涛决定采用目前较有优势的膝关节后部小切口,尽量规避以上问题,直达骨折部位。复位后用空心钉固定。
术中,医护团队精细操作,直视下后交叉韧带止点解剖复位、稳定固定。患者术后功能康复良好,对手术效果十分满意。

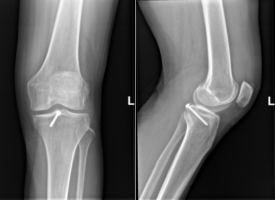
▲术后X片提示膝关节交叉韧带止点撕脱骨折
已复位、固定
后交叉韧带(posteriorcruciateligament,PCL)起自股骨内侧髁的外侧面,向后外下方走行,止于胫骨髁间棘后部。胫骨止点撕脱骨折是PCL损伤的一种特殊形式,发生机制为膝关节屈曲时直接暴力作用于胫骨,使其向后移动或膝关节发生过伸性损伤[1]。
后交叉韧带对维持膝关节稳定性具有重要意义。对于移位的后交叉韧带胫骨止点撕脱骨折,若不及时治疗,会造成骨折畸形愈合、不愈合,膝关节加速退变等严重后果[2]。
后交叉韧带胫骨止点撕脱骨折手术有哪些?
目前公认采用手术治疗,常用手术方案为关节镜下复位固定和后路切开复位内固定,且固定方式多种多样,但最佳手术方案仍有争议[3]。尽管生物力学研究显示开放固定和关节镜下固定结果无明显差异[4],但关节镜下复位固定骨折块需要专门设备,技术学习曲线较长[5];也有研究报道关节镜术后关节纤维化发生率高于开放手术[3]。因此开放手术仍然受很多术者青睐。但传统开放手术存在损伤神经血管、软组织剥离过多等不足[6]。之后逐渐完善、开展了一种膝关节微创安全入路治疗胫骨止点撕脱骨折,既可以更好地显露骨折块,又可以很好地保护神经血管,临床疗效确切[7]。

▲手术示意图(C为微创安全手术入路)
微创手术入路治疗的优势
改良膝关节微创安全入路,在膝关节后内方劈开腓肠肌内侧头,利用腓肠肌内侧头的外半部对腘窝处神经血管加以遮挡,起到保护作用,且通过拉开腓肠肌内侧头的外半部,距离骨折处更近,暴露更清晰,可以达到更好的复位内固定效果。总体来说,改良膝关节微创安全入路治疗后交叉韧带胫骨止点撕脱骨折操作简单,临床疗效确切。

▲传统手术切口-微创手术切口
后交叉韧带是膝关节内最强韧的韧带,是稳定膝关节的重要结构之一,在维持膝关节前后向和旋转稳定中起不可替代的作用。目前,PCL胫骨止点撕脱骨折的手术方式主要有切开复位固定、关节镜下复位固定和关节镜下PCL重建三大类,需根据患者的受伤时间、骨折性质、有无合并伤等具体情况制定个体化的治疗方案,以期最大限度恢复患者的膝关节稳定及功能,如何选择最佳治疗方式获取最好的临床疗效仍需根据术者的手术习惯和熟练程度并结合患者的具体情况进行决策。
改良膝关节微创安全入路治疗
后交叉韧带胫骨止点撕脱骨折
操作简单
临床疗效确切
既达到治疗效果
又不失美观
实现了“加速康复外科(ERAS)”的
现代医学理念
我院将坚持
“一切以病人为中心”的服务宗旨
不断探索、精进医疗技术
竭诚为广大患者
提供最优质的诊疗服务
现任:成都市中医骨伤专业医疗质控中心专家组成员;四川省医学会骨病骨肿瘤专委会 委员;四川省医学会中西医结合骨科专委会委员;四川省中医学会中医运动专委会 委员;四川省中医学会中医骨伤专委会委员;四川省医学会老年骨科专委会委员;龙泉驿区中医骨科质控中心执行主任;龙泉驿区中西医结合骨科专委会副主任委员;龙泉驿区骨科、运动专委会专家组成员。
毕业于成都中医药大学,从事骨科临床工作27年,曾经在四川省人民医院骨科、华西医院附一院骨科、核工业416医院、四川省第二中医医院骨科等进修学习,曾先后在国家级杂志发表论文多篇。
擅长:尤其擅长于在骨科:脊柱(腰腿疼痛专科)、关节、创伤(骨盆、四肢创伤)及骨肿瘤方面的诊断、治疗。
毕业于四川大学临床医学专业,本科学历,医学学士学位。从事骨科专业15年余,曾在成都军区机关医院创伤显微外科中心工作6年,并在北京大学人民医院、成都体育学院附属医院、重庆新桥医院访问学习。目前主要从事四肢创伤的诊疗工作。
擅长:四肢骨折及手外伤的救治,皮瓣转移修复各类创面、神经血管肌腱修复、功能重建;踇外翻、膝关节截骨矫形手术治疗;肩关节的肩峰撞击、钙化性肌腱炎、肩周炎、肩袖撕裂等疾病的诊断与治疗等方面拥有丰富的临床经验。
四川省省级重点中医专科,技术力量雄厚、技术精湛,现有高、中、初级职称医护人员81名,其中医生31人,护理50人,硕士研究生18人。现有床位200张,目前开放床位150张,分别为骨一科(创伤)50张,骨二科(脊柱)50张,骨三科(关节、运动医学)50张。
开展了四肢关节创伤、骨盆髋臼骨折、骨折延迟愈合/不愈合、大面积创面修复、手足部畸形矫正、手功能重建、糖尿病足、手足部损伤、周围神经血管损伤、人工全髋、半髋、全膝关节置换术、单髁置换术、髋膝关节翻修术、脊柱前后路减压植骨内固定术、脊柱微创手术(PKP、PVP、椎间孔镜)、肩膝踝关节镜微创术、四肢骨折内固定术、四肢矫形术、骨与软组织肿瘤等手术治疗。同时,骨伤科具有明显中医特色优势,开展了中医正骨疗法,手法复位小夹板外固定、理疗、中药外敷、自制药酒溻渍等传统治疗,长期坚持运用中西医结合治疗各种骨伤科疾病,疗效显著,在区域内处于领先地位。
1. White EA, Patel DB, Matcuk GR, et al. Cruciate ligament avulsionfractures: anatomy, biomechanics, injury patterns, and approach tomanagement. Emerg Radiol, 2013, 20(5): 429-440.2. Katsman A, Strauss EJ, Campbell KA, et al. Posterior cruciateligament avulsion fractures. Curr Rev Musculoskelet Med, 2018,3. Hooper PO, Silko C, Malcolm TL, et al. Management of posteriorcruciate ligament tibial avulsion injuries: A systematic review. Am JSports Med, 2018, 46(3): 734-742.4. Song JG, Nha KW, Lee SW. Open posterior approach versusarthroscopic suture fixation for displaced posterior cruciateligament avulsion fractures: Systematic review. Knee Surg RelatRes, 2018, 30(4): 275-283.5. Joshi S, Bhatia C, Gondane A, et al. Open reduction and internalfixation of isolated posterior cruciate ligament avulsion fractures:Clinical and functional outcome. Knee Surg Relat Res, 2017, 29(3):6. Khatri K, Sharma V, Lakhotia D, et al. Posterior cruciate ligamenttibial avulsion treated with open reduction and internal fixationthrough the burks and schaffer approach. Malays Orthop J, 2015,7.黄崇峻,陈波波,曹年平,等.膝关节微创安全入路治疗后交叉韧带胫骨止点撕脱骨折疗效分析.中国修复重建外科杂志,2023,37(1):1-5.doi:10.7507/1002-1892.202208101.
供稿:文 猛
编辑:刘罗娜
校对:许锦涛
审核:业务分管领导
部分图片来源于网络,如有侵权,请联系删除。

扫一扫 手机端浏览